胆石(たんせき、英語: gallstone)は、肝臓から分泌される、胆汁の成分が固まって胆嚢内・胆管内に溜まったもの(結石)である。胆石の成分によって何種類かあり、色も形も多様である。胆嚢炎などは、ほとんど、胆石が原因である。
歴史
「胆石」の名前の由来は、固まった胆汁が結石のような物だったため、胆石と付けられている。胆石は古来の欧州から、非常に流行していた病気とされ、紀元前1500から1600年頃のミイラからも胆石が発見されている。
疫学
胆石は一般に5Fの人に多いとされる。すなわち、Forty(40代)、Female(女性)、Fatty(肥満)、Fertile(多産)およびFair(色白、麗人)である。また、経口避妊薬内服・急激なダイエット、長時間絶食の習慣者にも多いことが報告されている。
胆石を保持している人の約80%は、症状のない無症状胆石で、人間ドックで発見されることも多く、胆石症の症状を起こす人は1%から3%と言われている。また胆石が明らかな胆嚢癌を生じやすいという証拠はないが、胆嚢癌では高率に胆石が認められる。アメリカでは、65歳以上の20%程度に胆石があるとされている。実際には、他の疾患のためエコーやCT、MRIなどの検査をされ、偶然発見された胆石は17年間のフォローアップ中、その8%にしか胆石関連疾患(胆のう炎や胆石嵌頓)を生じなかった。
高度経済成長以前の日本では、カロリーと脂肪分の少ない食事が主流だったため、コレステロール結石の患者はほとんど存在しなかったが、食事の欧米化が進み増加傾向にある。なお、飲酒する人の胆石保有率は低いという報告もある。
アナフィラクトイド紫斑病に関与している可能性が報告されている。
名称
胆石のできる場所によって正式には以下の通り称される。
- 胆嚢結石:胆嚢にできる胆石
- 総胆管結石:総胆管にできる結石
- 肝内結石:肝内胆管にできる結石
種類
小さく堅い黒色色素結石と大きく柔らかい褐色色素結石に大別される。黒色色素結石は、ビリルビンカルシウムと無機カルシウム塩(炭酸カルシウム、リン酸カルシウム)から成る。また、脂肪分を多く含む褐色色素結石は、ビリルビン塩と脂肪酸(パルチミン酸またはステアリン酸カルシウム)から成る。
日本消化器病学会胆石症検討委員会(1984/7/21)は下記の様に分類では。
- コレステロール胆石
- a) 純コレステロール石
- b) 混成石
- c) 混合石
- 色素胆石
- a) 黒色石
- b) ビリルビンカルシウム石
- まれな胆石
- a) 炭酸カルシウム石
- b) 脂肪酸カルシウム石
- c) 他の混成石
- d) その他の胆石
要因
胆石が形成される大きな要因の一つとして胆嚢収縮機能の低下が挙げられる。また、胆汁の中のコレステロールが上昇することも胆石の形成に関係している。このコレステロールの上昇に関しては、レシチンと胆汁酸のバランスが悪くなり、胆汁の粘張度が高くなり、鬱滞もしくは細菌感染によって凝集を起こした胆汁が、胆嚢・胆管で固まって結石となるためとされている。なお、胆汁にはもともとコレステロールが多く含まれているものの、通常脂溶性である胆汁は、レシチンと胆汁酸の作用によって固まらず、液体のまま十二指腸に送られている。
1960年代には細菌感染の重要な要因としてグラム陰性桿菌や大腸菌感染が疑われ、研究が続けられている。
胆石症
無症状の場合が多いが、胆石そのものの徴候(胆石発作)と、感染を伴う胆嚢炎・胆管炎の徴候としては以下がある。
症状
胆石保有者の約80%は無症状とされる。主な症状は、以下の通りである。
痛みの特徴は、
- 前兆なく突然始まる痛み、
- 15分から1時間で激痛、
- 多くは6時間未満続く疼痛(最長12時間程度)で、徐々に消える。
- 右上腹部痛
- 主に心窩部や右脇腹(右上腹部)の痛み、右肩放散痛、腰痛、肩凝り等が生じることもある。
- 悪心・嘔吐
- 吐気や嘔吐を伴うことが多い。
- 発熱
- 胆嚢炎を生じた場合は発熱・悪寒。
所見
- 右上腹部圧痛・叩打痛
- 多くの場合に認められる。
- 黄疸
- 胆管で肝臓から流れ込む胆汁が胆石によって、黄疸を引き起こすことがある。黄疸は胆管結石に多く、黄疸によって尿の色が濃くなることもある。
検査
診断には以下の検査がある。
- 腹部超音波検査
- 超音波検査は微小の病変描出に優れており、胆石以外に閉塞性黄疸の検査でも用いられる。ただ胆管内にできた胆石は、超音波ではうまく描出できないこともある。
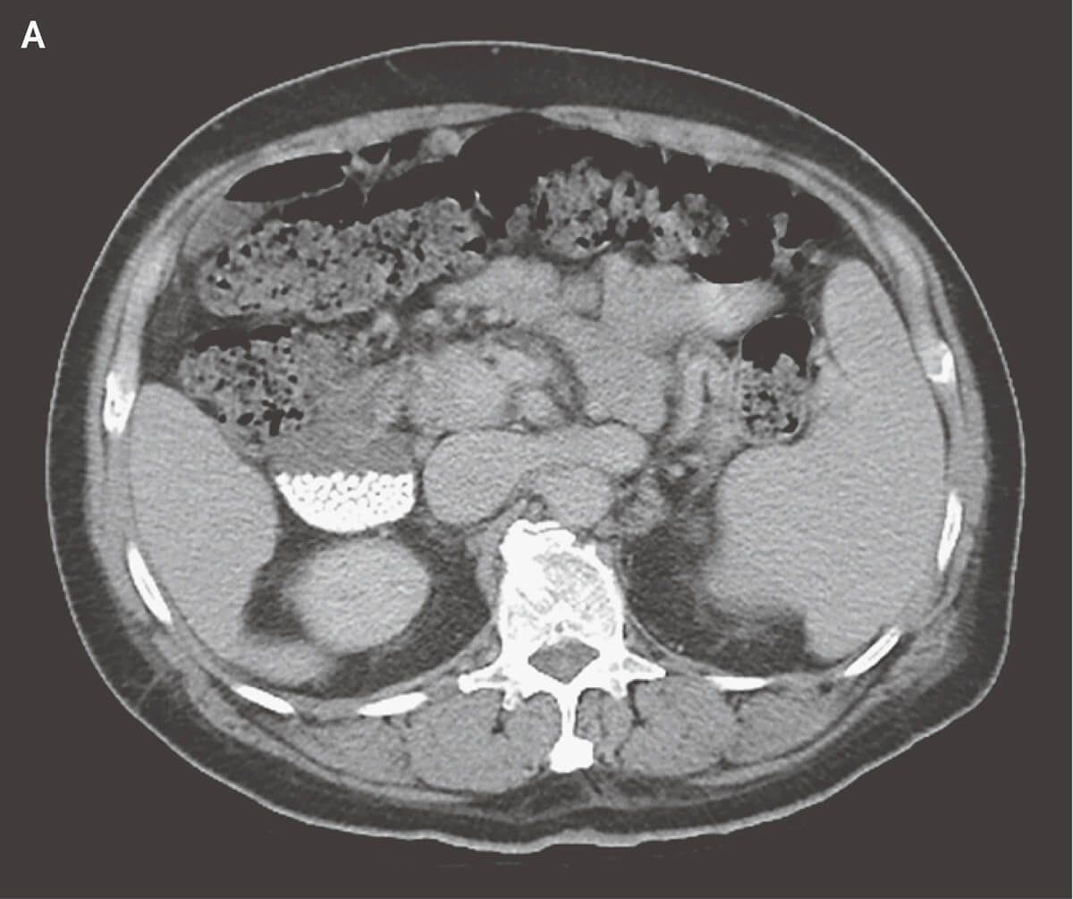
- コンピュータ断層撮影(CT)
- 胆管・胆嚢の結石の有無を構造的に描出する。微小の結石に関しては診断困難なこともある。
- 核磁気共鳴画像法(MRI)・MRCP
- 胆嚢・胆管結石の有無を3D立体構築画像として診断できる検査として汎用されている。
- 内視鏡的逆行性胆道膵管造影(ERCP)
- 主に胆石の治療において行われる検査・処置。
- 尿中ウロビリノーゲンの検査
- 血液検査
- 無症状の胆嚢結石の場合血液検査にて異常値を示すことはほとんどないが、胆管結石の場合は肝・胆道系酵素(AST、ALT、ALP、γ-GTP)やビリルビン値が上昇傾向を示す。また、胆嚢結石においても胆嚢炎等の感染を伴う場合も上昇傾向を示す。
鑑別疾患
大動脈解離、狭心症、胃潰瘍、セフェム系の抗生物質セフトリアキソン(Ceftriaxone)による偽胆石症
治療
無症状の場合、治療は行わないが、胆嚢摘出術を行う事もある。
薬物治療
ウルソデオキシコール酸(UDCA)を主成分とする経口胆石溶解剤を内服することで、胆汁の流れをよくし胆石を溶かす効果を期待する。しかし、基本的に胆石の完全除去はほとんどないため予防的に処方されることが多い。
内視鏡治療
一般に、胆嚢炎・胆管炎等の感染を伴う場合や、総胆管結石等の治療に行われる。
手術治療
胆嚢摘出術は、胆石症の原因である胆嚢を摘出する手術で、最も根治的な胆石症の治療法である。1990年代から腹腔鏡下で行う手術が多くなってきている。
胆嚢の機能は胆汁を一時的に蓄えるだけで、術後も胆汁は肝臓で作られ消化機能に影響がないため、手術により胆嚢を失っても日常生活に支障はないが、油脂を採り過ぎると下痢をしやすい体質になる可能性がある。
超音波破砕治療
体外衝撃波胆石破砕術(Extracorporeal shock wave lithotripsy|ESWL)と呼ばれ、体外から高周波の衝撃波を当てることにより、胆石を砕く治療法。
侵襲が少なく患者への負担が軽い治療ではあるが、適応が「純コレステロール胆嚢結石」のみである。日本人の多くのコレステロール胆石が石灰化混合胆石で他の胆石に対しては治療適応がなく、また胆石を除去するのではなく粉砕し自然排石を期待する治療のため、再発が多い。そのため実施機関が少ない。また、胆嚢炎を生じた場合、胆嚢が肥大化し胆嚢壁が薄くなり、衝撃波を当てると胆嚢壁が破れる危険性があるため、この治療法を施すことはできない。
動物における胆石
犬では臨床上問題となる胆石の大部分はビリルビンとカルシウムを主体とする胆汁色素系胆石である。慢性経過では特徴的な症状を示さないことが多い。胆管内に胆石が存在すると疼痛を示す。
馬(サラブレッド)では、2018年の日本ダービー優勝馬ワグネリアンが多臓器不全で死亡した際、解剖によって胆石が見つかっている。日本中央競馬会で馬に胆石が見つかったのは初めてのケースだったという。
出典
参考文献
- 胆石症診療ガイドライン2016 日本消化器病学会ガイドライン
- 胆道の病気 胆石とは? 広島大学病院
関連項目
- 牛黄 - ウシの胆石。漢方薬に使用される。
- 尿路結石
- 膀胱結石
外部リンク
- 胆石症、総胆管結石 慶應義塾大学病院




